Oculocerebrorenal Dystrophy (Lowe Syndrome)
It isan
infrequent X-linked receding illness considered by congenital cataracts, mental
retardation,hypotonic and areflexia proximal tubular acidosis, aminoaciduria,
phosphaturia, and low-molecular-weight proteinuria.
Symptoms
Boys with
Lowe condition are born with cascades in both eyes (the mark of the sickness).
Glaucoma is appeared in about 50% of the patients with Lowe condition, though typically
not at birth. 
Diagnosis
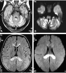
Size of
enzyme action in refined fibroblasts is the analytic test.Imaging Studies Brain
MRI may prove white matter irregularities, chiefly in the periventricular area.
Treatment
Cryptorchidism
may recover with hormonal therapy.
-1.jpg)
-2.jpg)
-3.jpg)
-4.jpg)
-5.jpg)
-6.jpg)
-7.jpg)
 
No comments:
Post a Comment